When Tooth Trouble Runs Deeper: Understanding Amelogenesis Imperfecta
At first glance, a tooth that chips easily, shows yellowing, or causes sudden sensitivity might seem like a simple dental nuisance. Most people assume it’s the result of coffee, acidic foods, or inconsistent brushing.
Yet for some, the underlying cause is far more complex—and it starts long before teeth even appear. By the time the signs become noticeable, the enamel may already be too weak to protect the teeth properly.
More Than a Cosmetic Issue

Discolored, sensitive, or easily worn teeth are often dismissed as minor concerns, but in some cases, the root cause is genetic. Amelogenesis Imperfecta (AI) is a rare inherited condition that affects the formation of tooth enamel, the hard outer layer that protects the teeth.
In AI, the enamel may never fully develop, leaving teeth vulnerable to wear, damage, and sensitivity. This isn’t the result of poor dental habits—it’s a developmental issue that can affect both appearance and function, sometimes from a very young age.
Why Enamel Matters
Enamel is the body’s hardest substance, serving as a shield against chewing pressure, temperature changes, acids, and bacteria. Specialized cells form this layer during early tooth development, producing a durable surface that lasts a lifetime—unless something interferes with its formation.
In Amelogenesis Imperfecta, genetic mutations disrupt this process. Enamel may become:
Too thin
Too soft
Poorly mineralized
Or fail to harden properly
Without this protective coating, teeth are exposed to damage, decay, and heightened sensitivity, making everyday eating and drinking uncomfortable or even painful.
Signs and Symptoms
AI can look different from person to person, but common signs include:
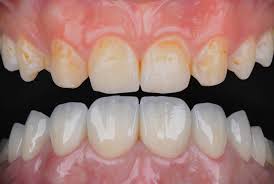
Yellow, brown, gray, or chalky white teeth
Small, uneven, or grooved surfaces
Chipping, crumbling, or rapid enamel wear
Heightened sensitivity to hot, cold, sweet, or acidic foods
Both primary (baby) and permanent teeth can be affected, meaning the condition may become apparent in early childhood. Parents might notice discolored or unusually worn teeth, or hear complaints of pain during meals. Early recognition is crucial for preventing further damage and protecting remaining enamel.
Emotional and Social Impact
Beyond physical challenges, AI can carry emotional consequences. Children and adults may feel self-conscious about their smiles, anxious in social situations, or embarrassed while eating or speaking.
Repeated dental treatments and ongoing discomfort can add stress, making AI more than just a dental concern—it can affect confidence and quality of life.
Types of Amelogenesis Imperfecta
AI is not uniform; it includes several forms:
Hypoplastic AI – Hard enamel that is too thin, leading to small, uneven, or pitted teeth.
Hypomaturation AI – Enamel of normal thickness but softer than usual, prone to chipping and discoloration.
Hypocalcified AI – Enamel forms but remains soft and poorly mineralized, wearing away quickly.
Despite the differences, all types share one common issue: enamel that does not provide the protection it should.
Diagnosis
Diagnosing AI involves more than observation. Dentists evaluate:
Enamel appearance and texture
Sensitivity or chipping history
Family history
Patterns of wear
X-rays, photographs, and sometimes genetic testing help distinguish AI from other causes like acid erosion, grinding, or decay. Early diagnosis enables dentists to create personalized care plans to protect the teeth.
Treatment Options
While AI cannot be reversed, modern dentistry can manage it effectively. Treatment aims to:
Reduce pain
Strengthen teeth
Protect against wear
Maintain function
Common interventions include:
Crowns – Cover and protect weakened teeth.
Bonding – Reinforce thin or damaged enamel.
Veneers – Improve protection and aesthetics.
Fluoride treatments – Strengthen remaining enamel.
Desensitizing products – Make eating and drinking more comfortable.
Regular dental checkups are essential, as ongoing care helps maintain function and appearance over a lifetime.
Living Confidently With AI
A diagnosis of Amelogenesis Imperfecta does not define a person’s smile or self-worth. With early intervention and consistent care, people with AI can maintain healthy, functional teeth and live confidently. Understanding the condition also helps patients stop blaming themselves for problems they never caused, offering both relief and empowerment.
Conclusion
Not all weak, discolored, or sensitive teeth result from poor habits. For some, the cause is genetic, beginning with enamel that never fully develops. Amelogenesis Imperfecta may affect appearance, comfort, and confidence, but with proper care, support, and treatment, people with AI can enjoy strong, functional smiles and lead normal, fulfilling lives. Knowledge, early intervention, and compassionate dental care make all the difference in turning a challenging condition into a manageable one.